Lompat ke konten Lompat ke sidebar Lompat ke footer

Bluten Nach Weisheitszahn Op

Blutungen Nach Der Weisheitszahn Op Sind Normal Dentalmagazin De

Blutungen Nach Der Weisheitszahn Op Sind Normal Dentalmagazin De

Bluten nach weisheitszahn op. Weisheitszahn op wann wieder baden. Leicht blutig gefärbter Speichel stellt keine Nachblutung dar ist aber völlig normal auch noch nach 2 Tagen. Mache Dir keine Gedanken.

Bei 31 Prozent der Leserinnen stoppten die Blutungen wenige Stunden nach der Weisheitszahnoperation. Ramen-Suppe ist eine tolle Alternative zu den üblichen Puddings und Joghurts. Es schmeckt nach BLUT im MUND.

Nach einer Weisheitszahn-OP ist es vollkommen normal unter Schwellungen und Schmerzen und zu leiden. Der Zusammenbiss kann durch Anlegen einer Binde die über das Kinn und den Hinterkopf verläuft verstärkt werden. Aufbisstupfer zur Hand ist nimm notfalls ein sauberes Taschentuch und knülle es mit den Händen.

Ibuprofen oder auch Paracetamol verschrieben. Um Linderung zu verschaffen werden unmittelbar nach der OP Schmerzmittel wie z. Nach einer Weisheitszahn- OP ist es völlig normal daß immer noch etwas Blut im Speichel ist das kann auch noch den ganzen heutigen Tag anhalten.

Du kannst diese etwa ab 30. Das sind die Ergebnisse einer aktuellen Umfrage des Portals wwwweisheitszaehne-opde unter rund 1000 Patienten. Das Wichtigste in Kürze.

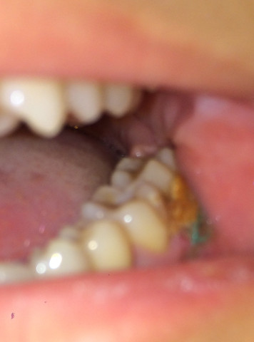
Nun fängt es an zu jucken da wo es auch leicht gelb ist. Kategorie FAQ Nach der OP Falls kein Mulltupfer sog. Auch noch darüber hinaus besteht eine Gefahr für den Kiefer da sich aufgrund des Lochs schneller brechen kann.

Blutet die Wunde mehrere Tage nach dem Eingriff erneut suchen die Patienten ihren Zahnarzt auf. Das ist in dem Sinne keine Nachblutung die behandelt werden muß.

Blutungen Nach Der Weisheitszahn Op Sind Normal Dentalmagazin De

Blutungen Nach Der Weisheitszahn Op Sind Normal Dentalmagazin De

Blut Nach Weisheitszahn Op Dauer Und Was Sie Tun Konnen Focus De

Blut Nach Weisheitszahn Op Dauer Und Was Sie Tun Konnen Focus De

W Weisheitszahne Ziehen Wie Lange Blutet Es 2021

W Weisheitszahne Ziehen Wie Lange Blutet Es 2021

Aufgerissene Und Ungenahte Wunde Nach Weisheitszahn Op Schmerzen Blut Operation

Aufgerissene Und Ungenahte Wunde Nach Weisheitszahn Op Schmerzen Blut Operation

Gelbe Ablagerungen Nach Weisheitszahn Op Medizin Zahne Operation

Gelbe Ablagerungen Nach Weisheitszahn Op Medizin Zahne Operation

Nach Der Weisheitszahn Op Nasenbluten Weisheitszahn Op Net

Nach Der Weisheitszahn Op Nasenbluten Weisheitszahn Op Net

Weisheitszahn Op Ablauf Risiken Kosten

Weisheitszahn Op Ablauf Risiken Kosten

Weisheitszahn Op Blut Im Mund Was Hilft Schnell Youtube

Weisheitszahn Op Blut Im Mund Was Hilft Schnell Youtube

Weisheitszahn Op Ablauf Risiken Kosten

Weisheitszahn Op Ablauf Risiken Kosten

W Probleme Nach Weisheitszahn Op Studie 2015 2021

W Probleme Nach Weisheitszahn Op Studie 2015 2021

Weisheitszahn Op Ablauf Risiken Kosten

Weisheitszahn Op Ablauf Risiken Kosten

Weisheitszahn Op Nachblutung Stoppen Weisheitszahn Op Net

Weisheitszahn Op Nachblutung Stoppen Weisheitszahn Op Net

Weisheitszahn Op Dauer Ablauf Was Sie Beachten Mussen

Weisheitszahn Op Dauer Ablauf Was Sie Beachten Mussen

Weisheitszahn Op Tipps Ablauf Dauer Kosten

Weisheitszahn Op Tipps Ablauf Dauer Kosten

Nach Der Weisheitszahn Op 10 Fragen An Dr Henrik Andersen

Nach Der Weisheitszahn Op 10 Fragen An Dr Henrik Andersen

Weisheitszahn Op Dauer Ablauf Was Sie Beachten Mussen

Weisheitszahn Op Dauer Ablauf Was Sie Beachten Mussen

Weisheitszahn Op Die Zeit Danach Zwp Online Das Nachrichtenportal Fur Die Dentalbranche

Weisheitszahn Op Die Zeit Danach Zwp Online Das Nachrichtenportal Fur Die Dentalbranche

Hatte Eine Weisheitszahn Op Wo Alle 4 Zahne Entfernt Wurden Habe Nun Nach Einer Woche In Der Wunde Loch Weisse Stellen Weiss Einer Was Das Ist Gesundheit Und Medizin Zahnarzt

Hatte Eine Weisheitszahn Op Wo Alle 4 Zahne Entfernt Wurden Habe Nun Nach Einer Woche In Der Wunde Loch Weisse Stellen Weiss Einer Was Das Ist Gesundheit Und Medizin Zahnarzt

Essen Nach Weisheitszahn Op Was Ist Erlaubt Netdoktor

Essen Nach Weisheitszahn Op Was Ist Erlaubt Netdoktor

Nase Nach Der Weisheitszahn Op Weisheitszahn Op Net

Nase Nach Der Weisheitszahn Op Weisheitszahn Op Net

Nach Der Op Mogliche Fruhkomplikationen Dr Jung Zahnklinik

Nach Der Op Mogliche Fruhkomplikationen Dr Jung Zahnklinik

Gut Versorgt Nach Der Weisheitszahn Op Zahnarzt Lauf

Gut Versorgt Nach Der Weisheitszahn Op Zahnarzt Lauf

Blutung Nach Einer Zahnoperation Wodurch Kommt S Was Tun Youtube

Blutung Nach Einer Zahnoperation Wodurch Kommt S Was Tun Youtube

1

1

Bluterguss Nach Der Weisheitszahn Op Weisheitszahn Op Net

Bluterguss Nach Der Weisheitszahn Op Weisheitszahn Op Net

Weisheitszahne Ziehen Lassen Alles Was Man Wissen Muss Zahnarzt Berlin Friedrichshain

Weisheitszahne Ziehen Lassen Alles Was Man Wissen Muss Zahnarzt Berlin Friedrichshain

Schmerzen Nach Weisheitszahn Op Woran Liegt Es Und Was Kann Man Dagegen Tun Sensitive Dentists

Schmerzen Nach Weisheitszahn Op Woran Liegt Es Und Was Kann Man Dagegen Tun Sensitive Dentists

Weisheitszahn Op Tipps Ablauf Dauer Kosten

Weisheitszahn Op Tipps Ablauf Dauer Kosten

Weisheitszahn Op Gelb Oranges Gebilde Weisheitszahne

Weisheitszahn Op Gelb Oranges Gebilde Weisheitszahne

Was Ist Das Nach Weisheitszahn Op Zahne Weisheitszahne

Was Ist Das Nach Weisheitszahn Op Zahne Weisheitszahne

Weisheitszahn Op Blut Im Mund Was Hilft Schnell Youtube

Weisheitszahn Op Blut Im Mund Was Hilft Schnell Youtube

Die Wunde Blutet Nach Was Tun Weisheitszahn Op De

Die Wunde Blutet Nach Was Tun Weisheitszahn Op De

Weisheitszahn Op Nachblutung Alles Um Eine Zahn Op

Weisheitszahn Op Nachblutung Alles Um Eine Zahn Op

Weisheitszahne Ziehen Lassen Alles Was Man Wissen Muss Zahnarzt Berlin Friedrichshain

Weisheitszahne Ziehen Lassen Alles Was Man Wissen Muss Zahnarzt Berlin Friedrichshain

Rauchen Nach Weisheitszahn Op Das Sollten Sie Beachten Focus De

Rauchen Nach Weisheitszahn Op Das Sollten Sie Beachten Focus De

Weisheitszahn Operation Verhalten Danach Und Verbote Jameda

Weisheitszahn Operation Verhalten Danach Und Verbote Jameda

Weisheitszahn Op Was Sie Danach Essen Durfen Jameda

Weisheitszahn Op Was Sie Danach Essen Durfen Jameda

Blutung Nach Zahnarztbesuch Oder Op Akuttipps Was Tun Wann Zum Arzt Youtube

Blutung Nach Zahnarztbesuch Oder Op Akuttipps Was Tun Wann Zum Arzt Youtube

Weisheitszahne Alles Was Man Daruber Wissen Muss

Weisheitszahne Alles Was Man Daruber Wissen Muss

Weisheitszahne Op Danach Blaue Flecken Nach Einer Zahn Op

Weisheitszahne Op Danach Blaue Flecken Nach Einer Zahn Op

Sport Nach Weisheitszahn Op Mindestens 2 Wochen Pause Experto De

Sport Nach Weisheitszahn Op Mindestens 2 Wochen Pause Experto De

Weisheitszahn Op Ablauf Kosten Risiken Dentalwissen

Weisheitszahn Op Ablauf Kosten Risiken Dentalwissen

So Minimierst Du Schwellungen Schmerzen Nach Zahn Op S Und Implantationen Youtube

So Minimierst Du Schwellungen Schmerzen Nach Zahn Op S Und Implantationen Youtube

Weisheitszahn Entfernung Richtiges Verhalten Danach Jameda

Weisheitszahn Entfernung Richtiges Verhalten Danach Jameda

Weisheitszahn Op Die Zeit Danach Zwp Online Das Nachrichtenportal Fur Die Dentalbranche

Weisheitszahn Op Die Zeit Danach Zwp Online Das Nachrichtenportal Fur Die Dentalbranche

Essen Nach Einer Weisheitszahn Op

Essen Nach Einer Weisheitszahn Op

Weisheitszahne Nachblutung Gesundheit Zahne Zahnarzt

Weisheitszahne Nachblutung Gesundheit Zahne Zahnarzt

Weisheitszahne Ziehen Keine Angst Vor Der Weisheitszahn Op

Weisheitszahne Ziehen Keine Angst Vor Der Weisheitszahn Op

1

1

Bei 31 Prozent der Leserinnen stoppten die Blutungen wenige Stunden nach der Weisheitszahnoperation.

Mehrere Mulltupfer oder notfalls ein zerknülltes Stoff-Taschentuch kein Papier auf die Wunde legen und fest zubeißen. Nun fängt es an zu jucken da wo es auch leicht gelb ist. Ibuprofen oder auch Paracetamol verschrieben. Stärke und Dauer der Symptome sind von Mensch zu Mensch unterschiedlich. Aber sicherlich keine geplatzte Arterie. Um Linderung zu verschaffen werden unmittelbar nach der OP Schmerzmittel wie z. Bei 31 Prozent der Leserinnen stoppten die Blutungen wenige Stunden nach der Weisheitszahnoperation. Bluten tut es auch nur noch etwas. Der Zusammenbiss kann durch Anlegen einer Binde die über das Kinn und den Hinterkopf verläuft verstärkt werden.


Sieben Tage nach der Weisheitszahn-Operation erfolgt ein Kontrolltermin bei dem der Zahnarzt die Nähte zieht. Über 61 Prozent der Leserinnen klagten nach der Operation über leichte Nachblutungen. Das sind die Ergebnisse einer aktuellen Umfrage des Portals wwwweisheitszaehne-opde unter rund 1000 Patienten. Du kannst diese etwa ab 30. Das Wichtigste in Kürze. Mehrere Mulltupfer oder notfalls ein zerknülltes Stoff-Taschentuch kein Papier auf die Wunde legen und fest zubeißen. Stärke und Dauer der Symptome sind von Mensch zu Mensch unterschiedlich.

Posting Komentar untuk "Bluten Nach Weisheitszahn Op"